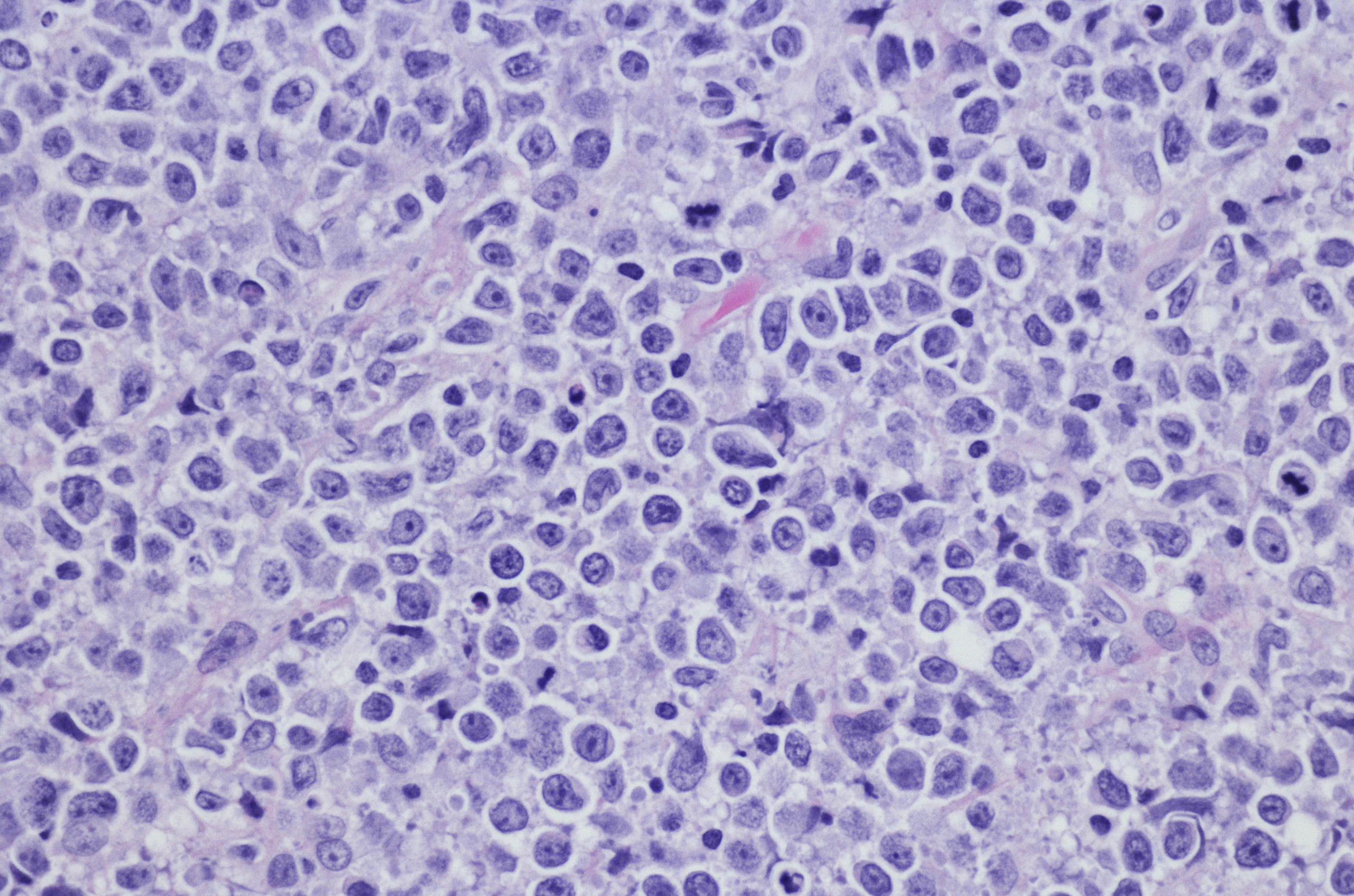
Lymphomas are most often classified by how the cancer cells look under the microscope. There are three main features of lymphoma:
Nearly all Non-Hodgkin Lymphomas belong to one of 3 main types:
All three types grow quickly and are scattered, but it is important to distinguish among them because they are treated differently.
Non-Hodgkin lymphoma may cause many different signs and symptoms, depending on where it starts. In some cases it may not cause any symptoms until it grows quite large.
Non-Hodgkin lymphoma can start in lymph nodes near the skin on the sides of the neck, in the underarm area, above the collar bone, or in the groin area. It can also be present in the abdomen, the brain or spinal cord, on the skin or in bone marrow.
Along with causing symptoms and signs in the part of the body where it starts, non-Hodgkin lymphoma can also cause general symptoms such as:
It’s important that if any of these symptoms are experienced – especially if they are unusual, that a health care professional is consulted.
As non-Hodgkin lymphoma is split into three subtypes, each needs to be approached differently when being treated.
Chemotherapy is the main treatment for lymphoblastic lymphoma. It is usually treated more intensively than other types of lymphoma.
The cancer cells of this lymphoma are the same cells as those seen in acute lymphoblastic leukaemia (ALL) in children. In fact, if more than 25% of the bone marrow is made up of lymphoblasts, the disease is classified and treated as ALL instead of lymphoma.
Burkitt lymphoma is also known as small non-cleaved cell lymphoma. It is most often seen in boys, usually around the age of 5 to 10 years old.
Chemotherapy is the main treatment for BL. It is usually an intensive treatment and involves staying in hospital for weeks at a time. A monoclonal drug can be given in addition to chemotherapy. Some children may have stem cell treatment.
These lymphomas start in more mature forms of T cells or B cells and can grow almost anywhere in the body. They are not as likely to spread to the bone marrow or brain, nor do they grow as quickly as other lymphomas.
Treatment options will vary greatly and treatments include surgery, chemotherapy, radiotherapy and stem cell transplant.