While Breast Cancer in Men is uncommon, it is not unheard of. Breast cancer in men accounts for around 1% of all breast cancer occurrences in Australia.
Men have significantly less breast tissue compared with women; however this tissue, which is mostly located behind the nipple, makes them susceptible to cancer.
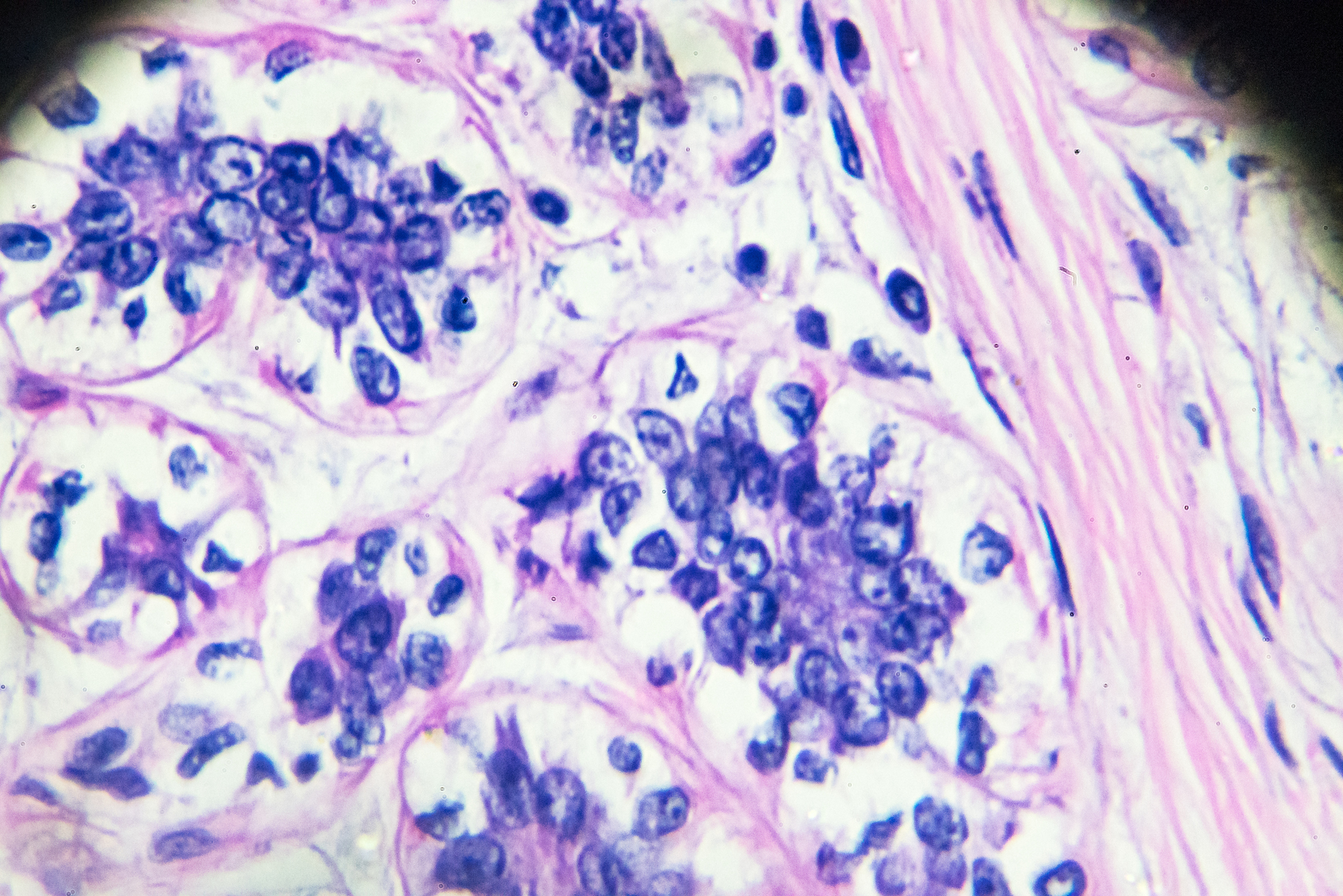
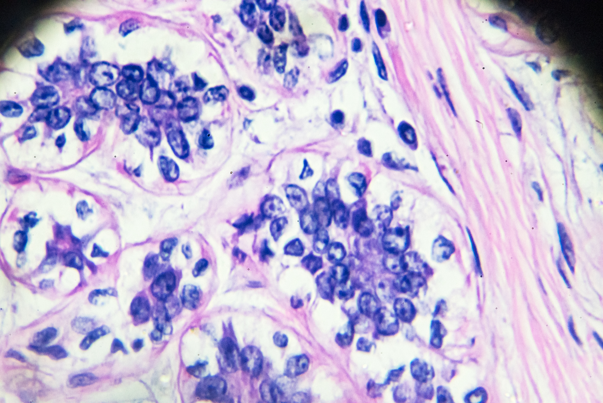
Breast cancer in men is the same disease as that which affects women. Male breast cancer can be early or advanced at diagnosis.
The most common types of male breast cancer include: early breast cancer, invasive ductal carcinoma, Paget’s disease of the nipple, inflammatory breast cancer, ductal carcinoma in situ (DCIS) and lobular carcinoma in situ (LCIS).
There are a number of factors that increase a man’s risk of developing breast cancer:
The most common symptom of breast cancer in men is a painless lump in the breast close to the nipple.
Other possible symptoms include:
Treatment for breast cancer in men involves most of the same options as for women – surgery, chemotherapy, radiotherapy and hormone therapy. However, there are variations as to how these treatments are carried out.
The most common type of surgery for men with breast cancer is a mastectomy, where the whole breast is removed. Breast conserving surgery, where only the part of the breast with the cancer is removed, is generally not suitable due to the lack of breast tissue in men.
The most common hormone therapy recommended for men with breast cancer is tamoxifen.