The term ‘triple negative’ is used to describe a type of breast cancer that does not have any of the three receptors commonly found on breast cancer cells. These receptors are:
Because of its triple negative status (Oestrogen Receptor negative, Progesterone Receptor negative and Human Epidermal Growth Factor Receptor 2 negative) this cancer type generally does not respond to receptor targeted treatments.
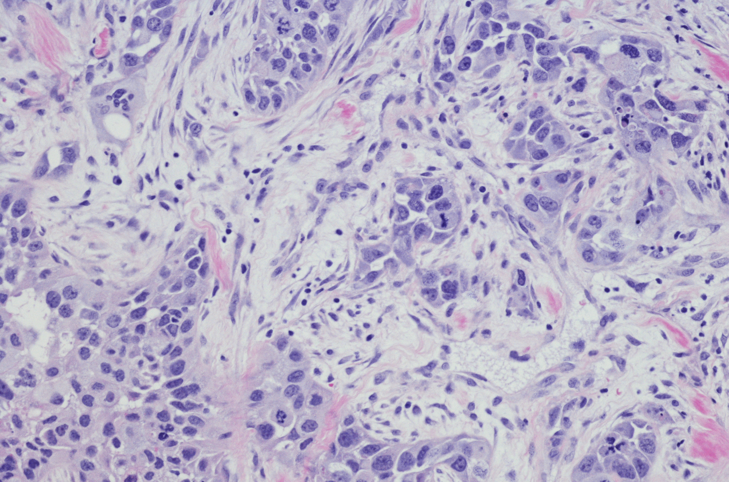
Depending on the stage of its diagnosis, Triple Negative Breast Cancer can be particularly aggressive, and more likely to recur than other subtypes of breast cancer.
The BRCA1 mutation is associated with a higher risk for triple negative breast cancer. However, not all breast cancers caused by BRCA mutations are triple negative. BRCA2 mutations are more likely to be present in oestrogen receptor positive (ER+) breast cancer.
Treatment for triple negative breast cancer usually involves surgery (lumpectomy or mastectomy), radiotherapy if a lumpectomy was performed, and chemotherapy. It generally responds well to chemotherapy.
Chemotherapy: Although chemotherapy is usually given after breast cancer surgery, sometimes it is given beforehand to shrink the tumour and make it easier for a surgeon to operate. This is known as neo-adjuvant chemotherapy.
Lumpectomy: A lumpectomy is an option if the tumour is small enough to be removed along with some healthy tissue around it and still give the breast an acceptable appearance.
Mastectomy: A mastectomy is another option that may be considered. There are three main types of mastectomy surgery:
Your oncologist will be able to discuss the most effective treatment for you.