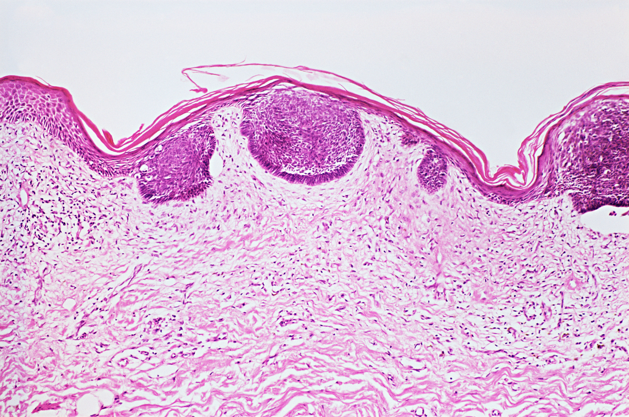
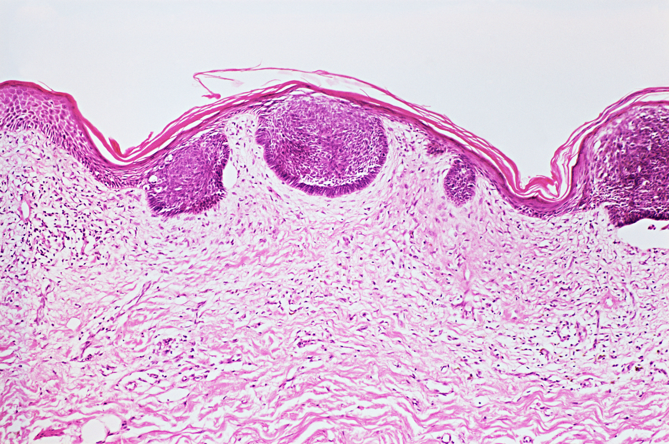
Skin Cancer is a disease in which cancer cells form in the tissues of the skin. The skin has several layers, but the two main layers are the upper layer, called the epidermis, and the lower or inner layer, called the dermis. Skin cancer begins in the epidermis, which is made up of three kinds of cells.
These three cells are:
There are also cancers that can spread to the skin, but these are not skin cancers.
Skin Cancer develops when the cells of the skin are damaged. This causes cells to mutate, reproduce abnormally and form a mass of cancerous cells. The type of skin cancer that develops depends on the type of cells that are involved.
Damage to the skin cells’ DNA leads to the cells mutating. This damage can be caused by ultraviolet radiation from sunlight and from tanning beds.
Other factors may also contribute to the development of Skin Cancer since it can develop on parts of the body that are not normally exposed to these sources of ultraviolet light. Exposure to toxic substances or having a weakened immune system may also contribute to the development of skin cancer.
Whether and how skin cancers spread depends on the type of skin cancer. Basal cell carcinomas and squamous cell cancers rarely spread. Melanomas are the most likely type of skin cancer to spread and metastasise. Melanoma can spread to any part of the body, but the most common areas it spreads to are the lungs, liver, bones, brain, abdomen and lymph nodes.
Staging describes where the cancer is located, if it has spread and whether the tumour is affecting other parts of the body. Stage 0 means there are cancer cells present, yet they haven’t spread or grown into surrounding cells. Stage 1 means the cancer is 2cm or less and has one or no high risk features (such as thickness, spread and size). Stage 2 means the cancer is 2cm or more and has 2 or more high risk features. Stages 3-4 mean the cancer has spread to a lymph node or other internal organs and is advanced.
Skin cancers come in three main types:
The most common skin cancers are non-melanoma skin cancers: basal cell carcinomas and squamous cell carcinomas. Both cancers are found on the parts of the body which are regularly exposed to the sun and their development are primarily related to one’s sun exposure. While these two types of skin cancers can spread to other parts of the body, they rarely do.
Melanomas develop from the cells that make up the skin’s pigment. These cells are called melanocytes. Melanomas can look similar to moles and can develop anywhere on the body. They are most likely to start in exposed areas such as the neck and face. It is also common in men for melanomas to start on the chest and back. For women, melanomas usually start on the legs. Melanoma skin cancer can be treated if caught early.
There are several other types of skin cancer, including:
However these make up a small percentage of all diagnosed skin cancers.
A sign is something that can be noticed. In skin cancer, a sign is any noticeable change to skin. Skin cancer may present as an abnormal lesion or bump, or as a mole that has changed appearance.
A symptom, or something you feel, may include tenderness, itchiness, soreness or bleeding around the abnormal lesion, bump or mole.
In skin cancer, the cells’ DNA is damaged which causes them to mutate and reproduce abnormally. The cells then form a mass of cancer cells that presents as an abnormal bump, lesion or mole.
As the Skin Cancer spreads along the nerves, it can produce itching, pain and numbness.
It is important to note that many skin cancer signs and symptoms are also associated with other diseases and conditions and may not necessarily indicate skin cancer.
The signs and symptoms of Skin Cancer differ slightly depending on the type of skin cancer.
A basal cell carcinoma and squamous cell carcinoma may initially present as a bump or a rough patch on the skin. However, the basal cell carcinoma will have a smooth, waxy appearance. It may even be translucent enough to see blood vessels in the middle, and it may be indented in the middle. A squamous cell carcinoma, on the other hand, will either remain as a reddish, scaly patch or will develop into a rough nodule.
Melanomas can also appear as lumps or moles on the skin. Not all moles are cancerous. In fact, most moles are harmless, and some will eventually fade away. However, some moles can become cancerous. Melanomas or cancerous moles are distinguished by irregular borders and an asymmetrical appearance. They may be more than one color and are typically larger than 6mm in diameter.
Changes in appearance of skin, existing moles or the growth of new moles should be discussed with a doctor.
There are several different options available to treat Skin Cancer depending on the type of skin cancer and its size, including surgery, radiation, photo dynamic therapy and topical medications.
An emerging body of research is indicating that knowing a tumour’s genomic profile could be more important for successful treatment than knowing its location or size. As each tumour’s genomic profile is unique, this approach is often referred to as personalised or precision medicine.
Basal cell carcinomas are highly curable and treatments include curettage (removing tissue by scraping or scooping) and electrodessication, radiation therapy, standard excision and surgery.
Most squamous cell carcinomas can be cured with minor surgery.
All melanomas are removed surgically. When melanoma is at an early stage, limited to the skin, it can often be removed with a simple surgical excision, with a skin graft often used to replace the skin removed.
Treatment for more advanced skin cancer commonly uses a combination of surgery, radiotherapy and chemotherapy.
Biological therapies, which use substances occurring naturally in the body to stimulate the immune system, are also used to treat melanoma, and work is currently underway to develop a melanoma vaccine.
Skin Cancer is one of the most preventable types of cancer. Limiting exposure to the sun and avoiding tanning beds is key in its prevention.
Exposure to UV radiation from the sun and from tanning beds is just one factor that can damage cells’ DNA and lead to Skin Cancer. The damage to the cells’ DNA can occur several years before the cancer develops.
Being exposed to certain toxic chemicals and having a weakened immune system are additional factors which can contribute to the development of Skin Cancer.