Kidney Cancer occurs when abnormal cells within one kidney grow in an uncontrolled way. Primary kidney cancer is a cancerous tumour that begins in the kidney.
There are two main types of kidney cancer. These are named after the cell type in which the cancer first develops:
Wilms Tumor is a rare kidney cancer that affects children.
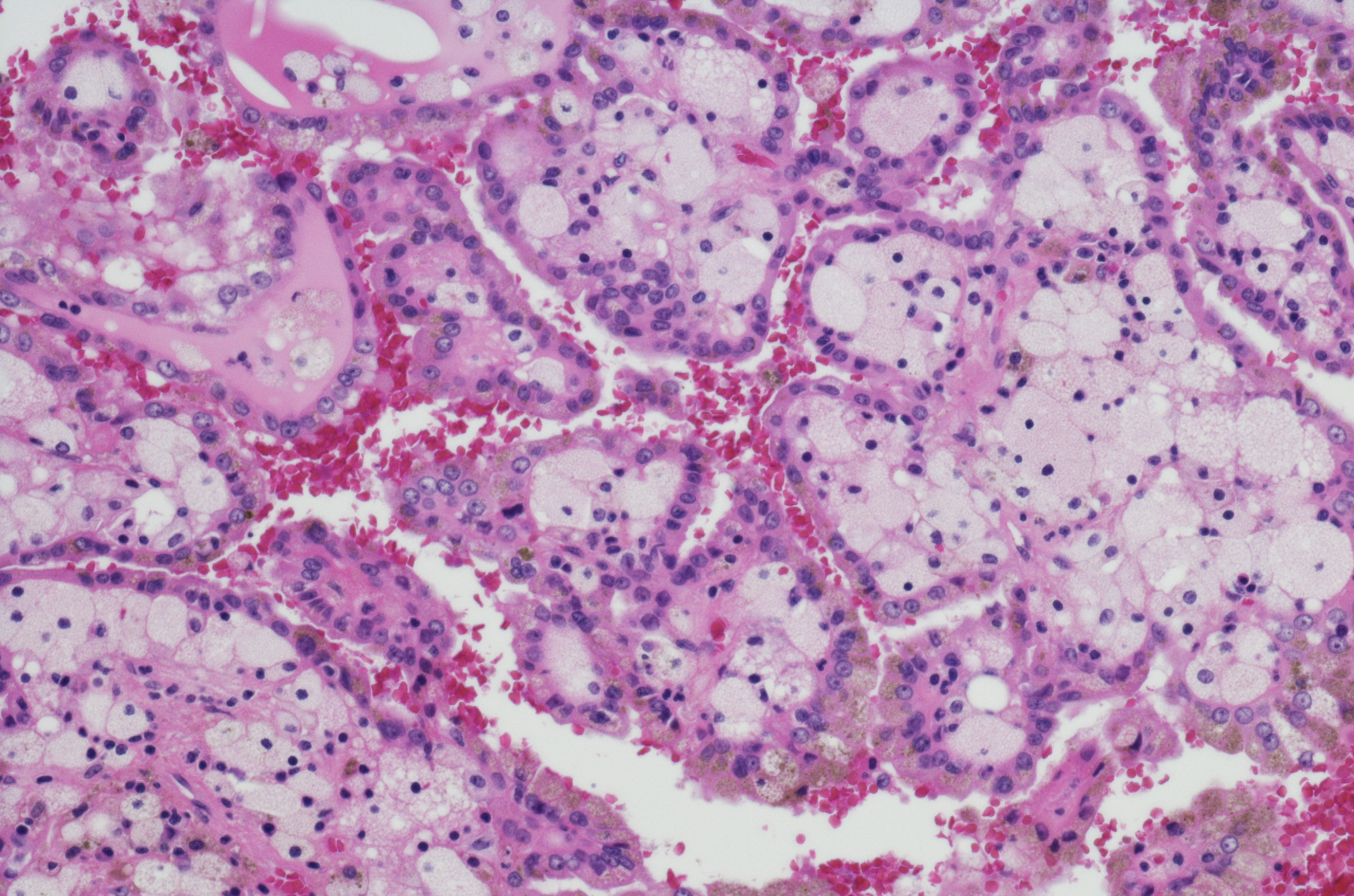
Most kidney tumours of the renal-cortical family occur when cancerous cells develop in the lining of the small tubes that help the kidneys process blood. A large number of these are malignant (fast growing and cancerous).
Often kidney tumours contain more than one cancer cell type. Generally a cancers’ aggressiveness will be graded by looking at these different cells under the microscope.
Transitional cell tumours of the kidneys and ureters are similar to bladder tumours, appearing as small growths in the kidney lining. In most cases, this form of cancer will be confined to the kidney’s lining and is unlikely to spread.
Often with kidney cancer there are no symptoms until the late stages of the disease. However, the most common symptoms of kidney cancer are:
It’s important to note that there are a number of conditions that may cause these symptoms, not just kidney cancer. If any of these symptoms are experienced, please discuss them with your GP.
In order to confirm a diagnosis of kidney cancer a number of tests can be performed. Some of the more common tests include: examination of a blood sample or urine sample, scanning or imaging of the kidney and nearby organs and taking a sample of tissue (biopsy) from the affected kidney wall for examination under a microscope.
If kidney cancer is diagnosed, treatment will depend on how large and invasive the cancer is, and whether it has spread to nearby organs.
Treatment options can include:
Most commonly, surgery is used to treat kidney cancer and often it is the only treatment needed. Sometimes only part of the kidney is removed so that the organ’s function is preserved. At other times, when cancer is more advanced, the whole kidney may be removed.
During the surgery, the doctor may remove nearby lymph nodes to examine them for cancer cells. Doctors will examine the cells of a tumour to determine which type of cancer is present.
Chemotherapy is sometimes used in addition to surgery; however conventional renal cell cancer is not responsive to this treatment.
Transitional cell carcinoma is responsive to chemotherapy. When this form of cancer is found on the surface of the renal pelvis or ureter, it may be treated by laser surgery, which uses a narrow beam of light to remove cancer cells.
Immunotherapies, which use substances that stimulate the body’s immune system, may be used to treat kidney tumours that have invaded other parts of the body.
Additionally, radiation therapy is sometimes used as the primary treatment if a patient is not well enough to undergo surgery.