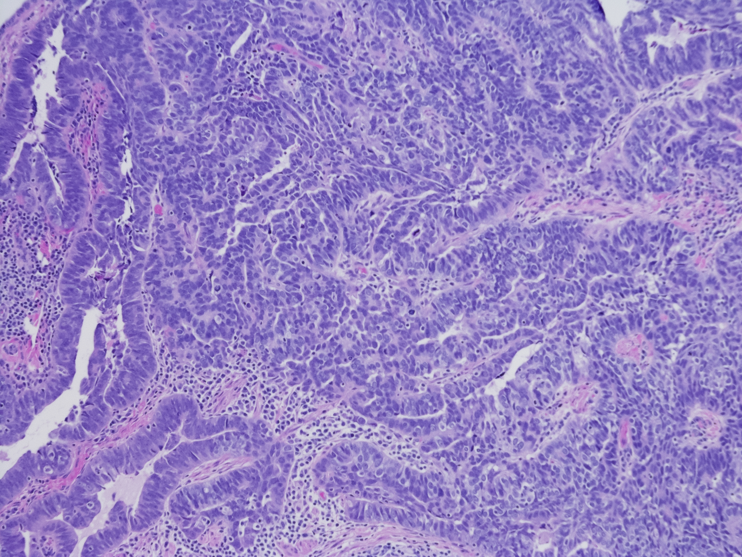
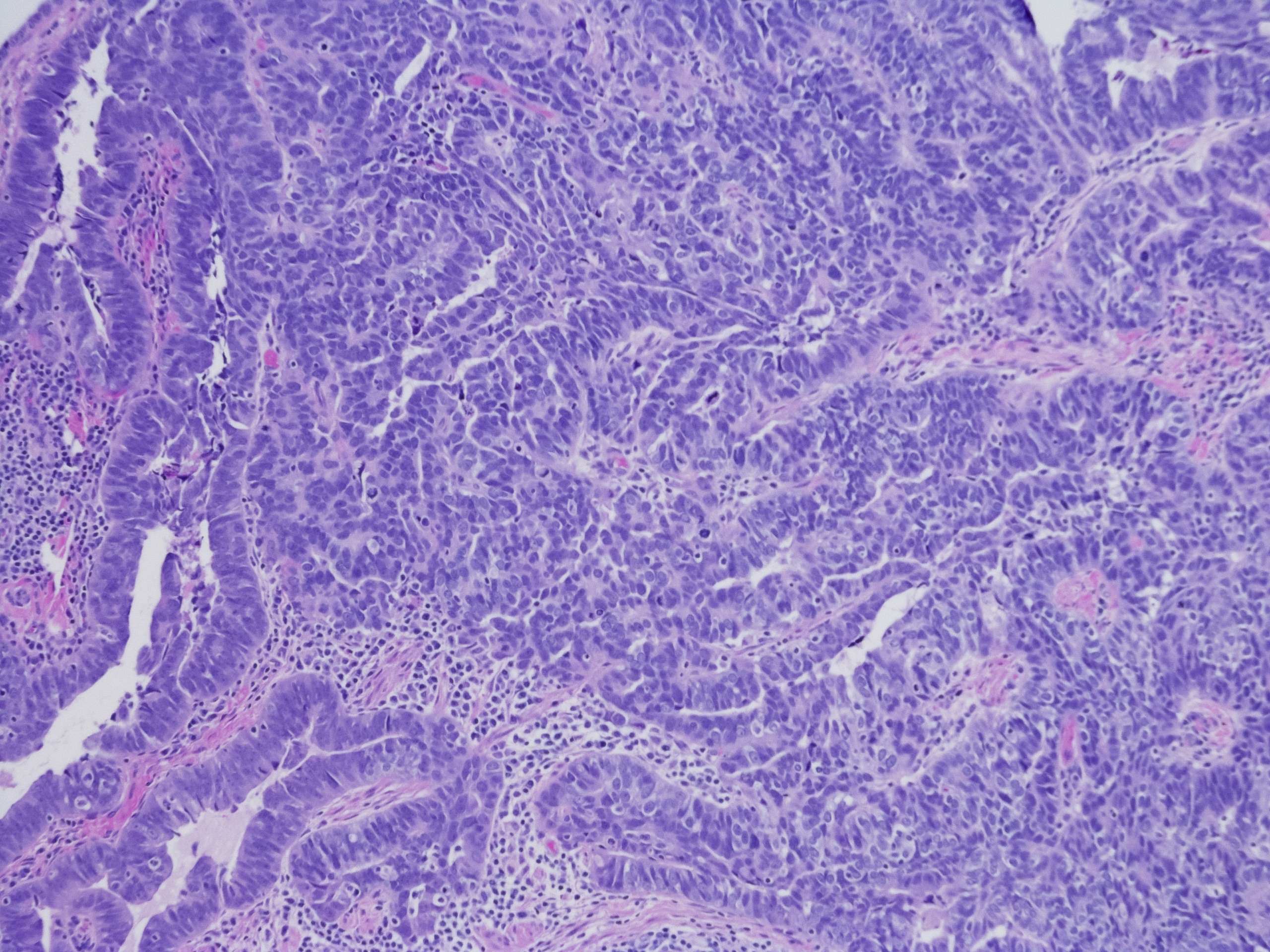
Gynaecological Cancer

Learn about gynaecological cancers

Gynaecological cancer statistics

is the five-year survival rate for women with cancer in 2018
1 in 7
Australians will pass away from cancer before the age of 85 (1 in 6 men, 1 in 8 women).
2 in 5
Australians will be diagnosed with cancer before the age of 85.
Awarded in grants
$1.5 - 10M
Grants awarded are each between $1.5 and 10 million
Ground-breaking research projects
Research institutes supported across Australia