Gastrointenstinal Carcinoid Tumours most commonly occur in the:
Having a gastrointestinal carcinoid tumour can increase a person’s risk of being diagnosed with other cancers in the digestive system.
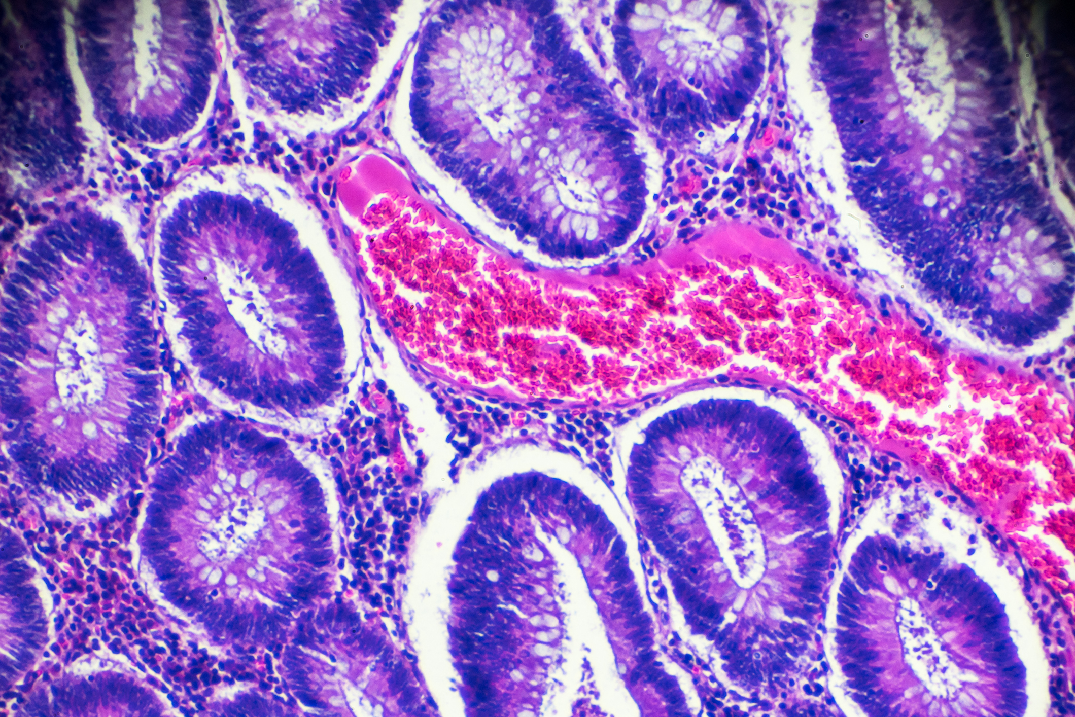
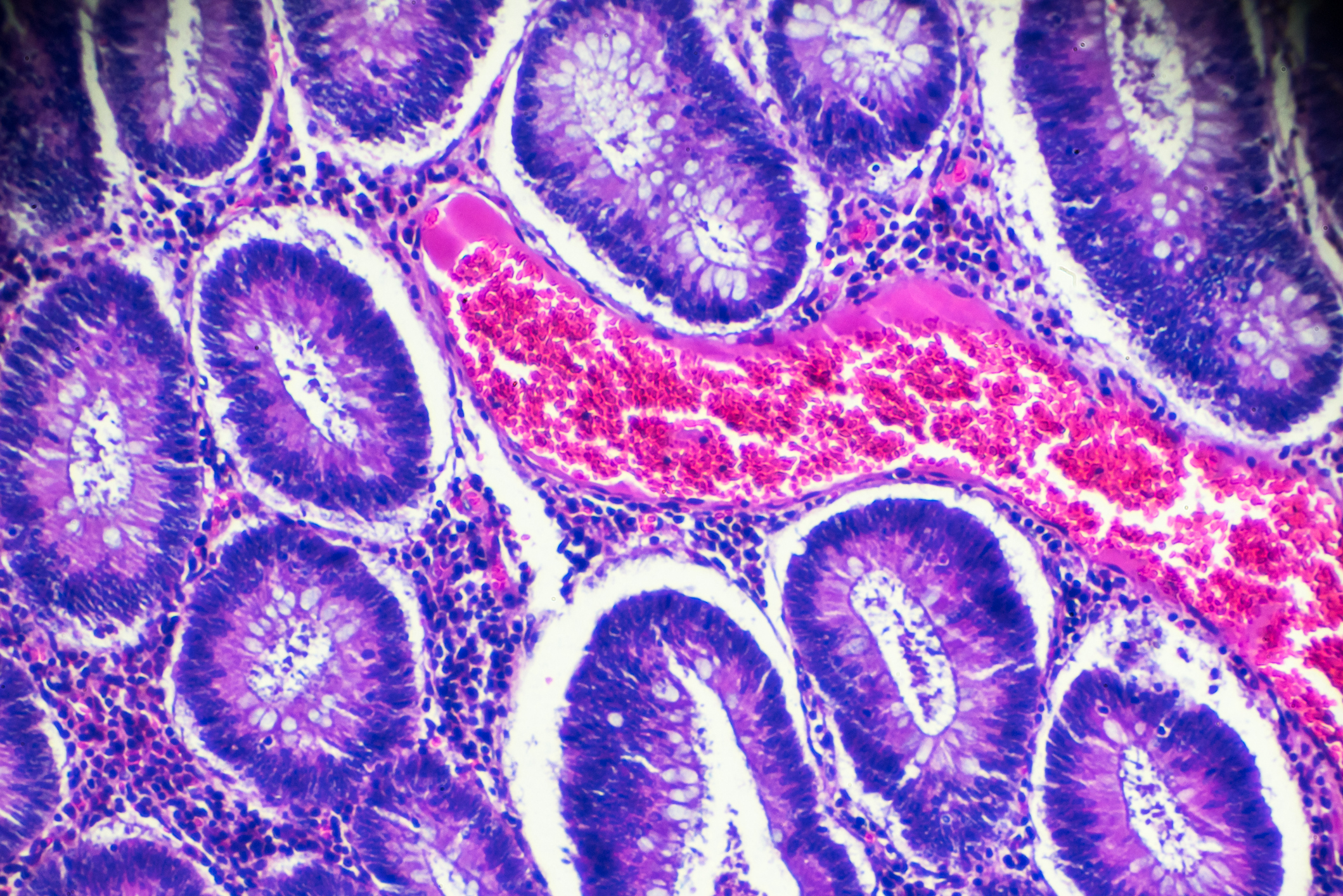
A gastrointestinal carcinoid tumour is cancer that forms in the lining of the gastrointestinal tract (which includes the stomach, intestines, appendix and rectum) from neuroendocrine cells.
The neuroendocrine cells make hormones that help to regulate digestive juices and the muscles used in moving food through our digestive system. A Gastrointestinal Tract cancer can also make hormones and release them into the body.
Gastrointestinal carcinoid tumours grow slowly. They may not grow or cause problems for months or years. However, some are aggressive and can quickly spread to other parts of the body, causing serious problems.
Many carcinoids won’t cause any symptoms. If you do have symptoms they’ll depend on where in the body the carcinoid is. For example, carcinoid in the stomach can cause pain and weight loss.
If the cancer cells produce hormones, this can cause a collection of symptoms known collectively as ‘carcinoid syndrome’.
Symptoms can include:
The following tests and procedures may be used to diagnose gastrointestinal carcinoid tumours:
Treatment for gastrointestinal carcinoid tumours includes surgery, radiation therapy, chemotherapy, percutaneous ethanol injection, biologic therapy and hormone therapy. Treatment of gastrointestinal carcinoid tumours usually includes surgery. One of the following surgical procedures may be used:
Other treatments include: