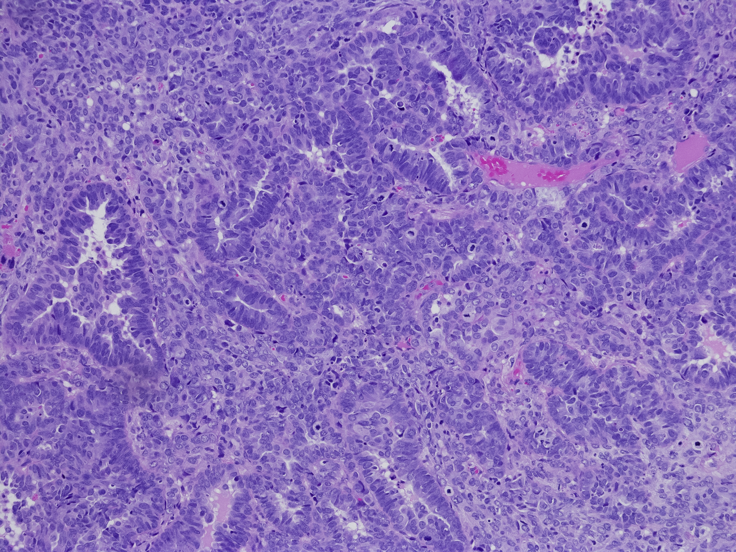
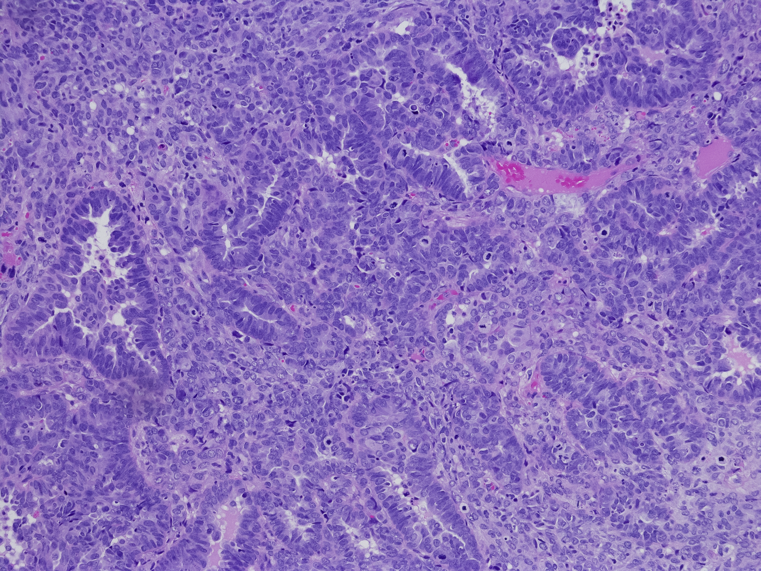
Fallopian Tube Cancer is a cancer that arises from one or both of the fallopian tubes. The fallopian tubes are the tubular structures which connect the upper, outer-most part of the uterus with the ovary and provide a means for fertilisation of the female egg.
Cancer of the fallopian tube is rare. Primary fallopian tube cancer accounts for less than half of one percent of all cancers in Australian women.
Although fallopian tube cancer is rare, treatment is similar in many respects to treatment for ovarian cancer.
There are two types of fallopian tube cancer:
Fallopian tube cancer symptoms include:
If you are experiencing any of these symptoms, visit your doctor for a check-up. It is important to remember that most women with any of these symptoms will not have fallopian tube cancer.
There are generally two types of treatment used for cancer of the fallopian tubes: surgery and chemotherapy. Radiotherapy and hormonal therapy may sometimes be used.
The extent of the cancer will determine the type of surgery needed.
However, what is generally required is a hysterectomy (removal of the uterus), and removal of both fallopian tubes and both ovaries (a bilateral salpingo-oophorectomy).
The omentum (a protective apron of fatty tissue over the abdominal organs) is also usually removed, and multiple biopsies will be taken.
For advanced fallopian tube cancer (i.e. Stage 3), bowel resections may be required. This is an operation for the removal of a length of bowel (either the large bowel or the small bowel).
Chemotherapy will usually be given after surgery for fallopian tube cancer.