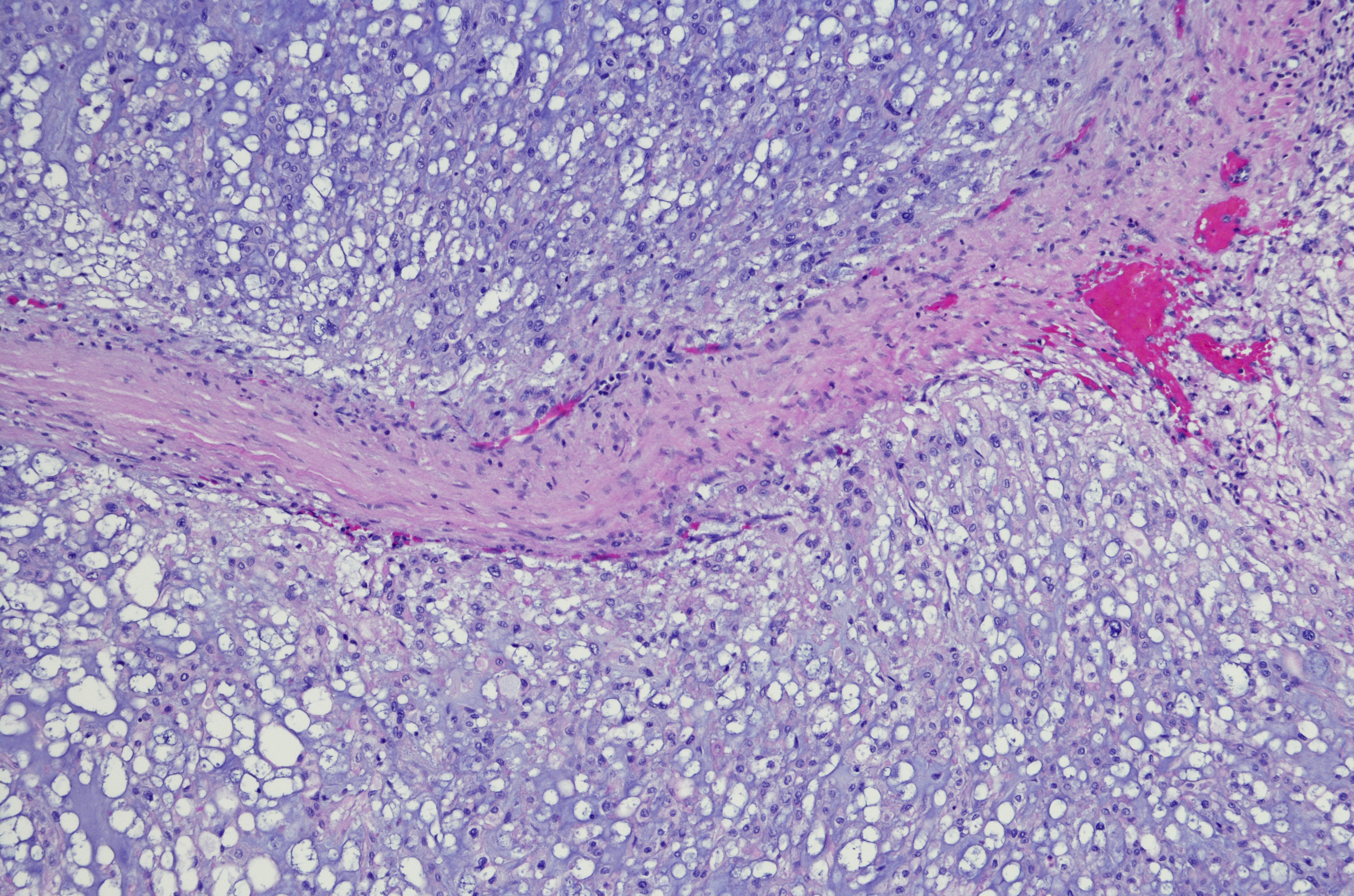
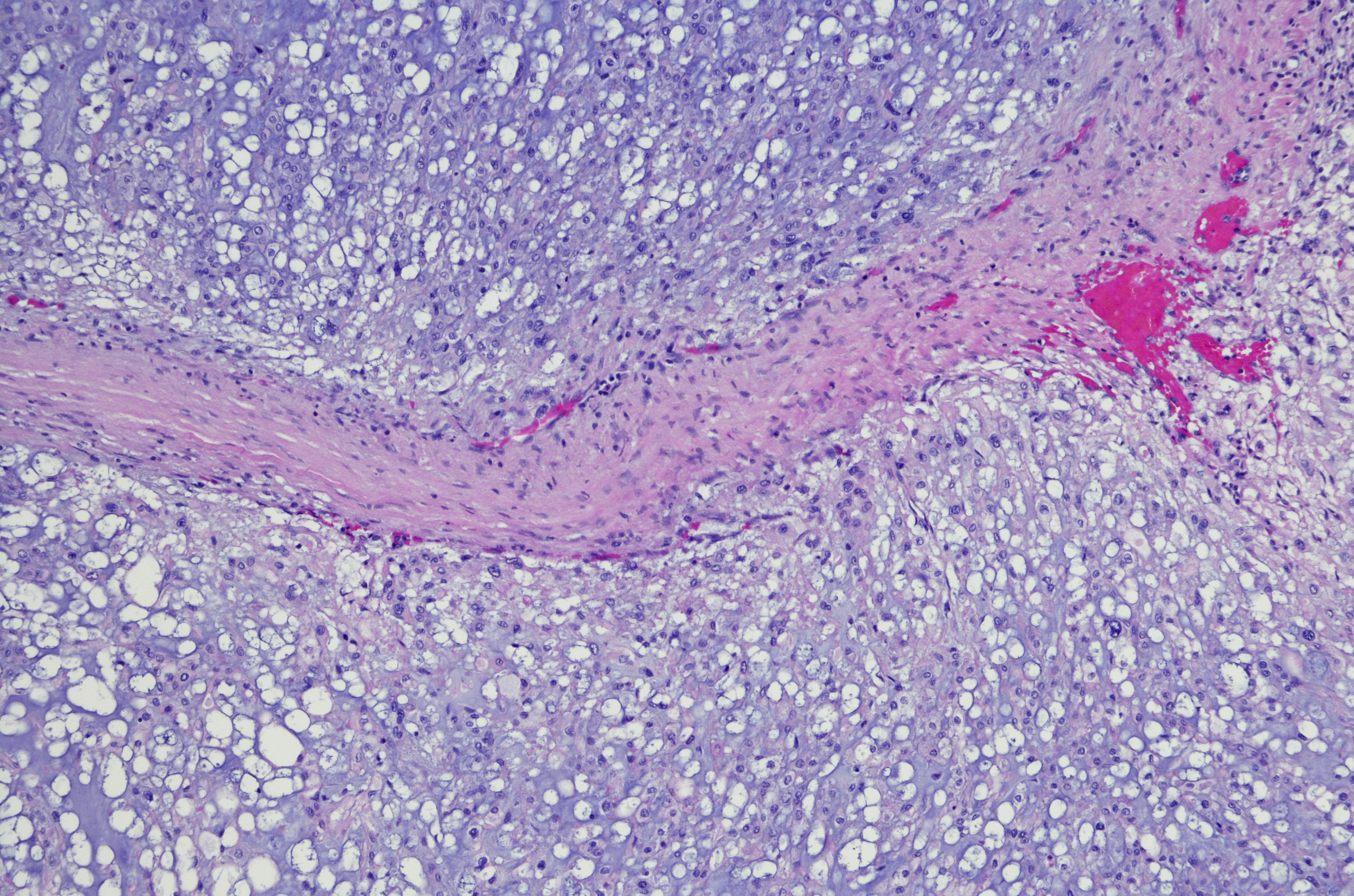
A Chordoma is a rare type of cancer that develops from the notochord. The notochord forms the spine in a foetus and, usually after around six months, most of the notochord is replaced by vertebrae. However, small amounts of the notochord may remain and these can sometimes develop into a chordoma, which can occur at any age.
Chordomas can be found in any part of the spine, with around half occurring at the bottom of the spine. About 35-40% of chordoma cases occur at the base of the skull or in the bones running down the middle of the face. The rest affect the vertebrae.
Symptoms will depend on where the tumour occurs. If the chordoma starts in the spine, symptoms may include:
If the chordoma starts in the base of the skull, symptoms may include:
The treatment for a chordoma depends on the size and position of a tumour. Some treatment options include:
Wherever possible, surgery is used to remove a tumour and nearby tissues that might contain cancer cells. In some situations, surgery to remove a chordoma of the spine may impact on the patient’s bowel and bladder functions, resulting in the need for a colostomy or urostomy.
Sometimes it may be too difficult to remove a chordoma completely – for example, if the chordoma has spread into nearby areas of the body. Radiotherapy might be recommended either as an additional or alternative treatment option to surgery. It can be used to destroy any remaining tumour cells, together, with chemotherapy if surgery isn’t possible or if a tumour comes back after initial treatment and further surgery is not possible. Occasionally, radiotherapy is also used to relieve symptoms, such as pain.
Chemotherapy has not been shown to be very effective in treating chordomas. However, it may sometimes be used to try to control a chordoma that has recurred or has spread elsewhere in the body.