New therapy in trial minimises side effects for leukaemia patients

10/16/2013 2:00:00 PM in Cancer Research Discoveries

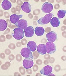
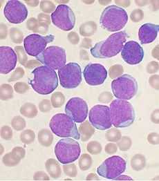
Australian researchers are trialing a drug which could bring new hope to people fighting adult leukaemia.

This drug, known as KB004, targets a protein which is only found in cancerous stem cells. It is undetectable on normal cells, so when the therapy is administered, it targets only cancerous cells, minimising side effects.

A team of Australian collaborators from ACRF-funded research institutes, including Dr. Martin Lackmann of Monash University, Melbourne; Dr. Andrew Boyd of QIMR Berghofer Medical Research Institute, Brisbane, and Dr. Andrew Scott of Ludwig Institute for Cancer Research, Melbourne, realised the potential of this protein – called EphA3 – as a drug target some years ago and successfully tested an antibody in their laboratories.

The drug KB004 has since been developed from this antibody, and clinical trials have commenced.

The latest report shows promising signs, whereby the new drug is controlling adult leukaemia without the negative side-effects that more conventional treatments can cause. In fact, at this point in time, the clinical trials of KB004 have produced no side-effects, even at high doses.

Dr Lackmann said, “While chemotherapy kills tumours it also targets other rapidly proliferating cells, leading to hair loss and gastrointestinal problems including nausea, loss of appetite, constipation and diarrhoea.”

“The side effects are what normally limit the dose of a conventional therapy.”

The first phase of a clinical trial is designed to test the safety of these drugs. Phase two clinical trials will now comment to test the effectiveness of the drug.

Some patients – most suffering from acute myeloid leukaemia (one of the most untreatable forms of adult leukaemia) – have already responded positively to the preliminary trial, so with further success, the drug could become publically available in five years’ time.

Separate trials are also planned for next year to test the drug on other forms of cancer.